วันนี้ (11 ก.ย.6น) พ.มนูญ ลีเชวงวงศ์ แพทย์เฉพาะทางด้านโรคระบบการหายใจและผู้ป่วยหนัก ยกเคสผู้ป่วยโรคงูสวัดแจ้งเตือนผ่านเฟซบุ๊กส่วนตัว หลังพบผู้ป่วยชาย อายุ 55 ปี ปกติแข็งแรงดี ไม่มีโรคประจำตัว มาโรงพยาบาลด้วยไข้ เจ็บคอ เจ็บใบหน้าและขมับด้านซ้าย 5 วัน ต่อมามีตุ่มน้ำใสขึ้นเป็นกระจุกในหูข้างซ้าย หน้าข้างซ้ายเบี้ยวครึ่งซีก เวียนศีรษะ บ้านหมุน กลืนอาหารลำบาก และพูดเสียงแหบ ตรวจร่างกาย พบสายเสียงข้างซ้ายเป็นอัมพาต

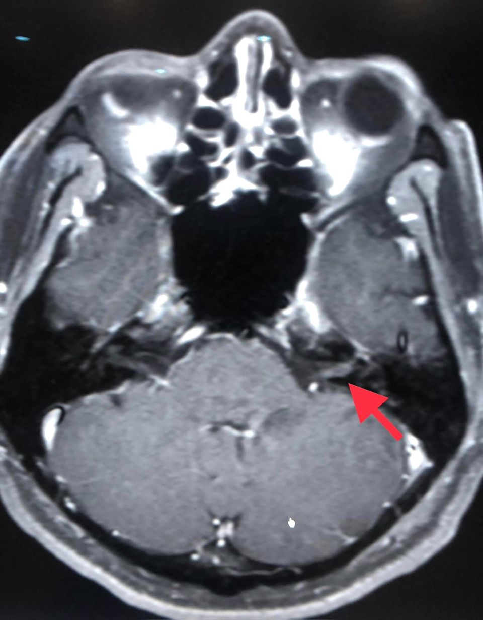
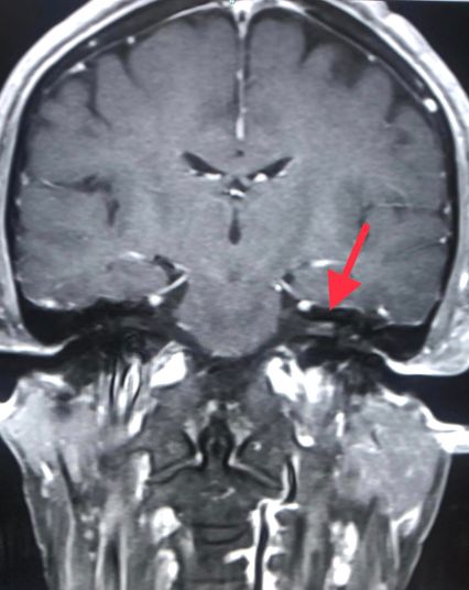
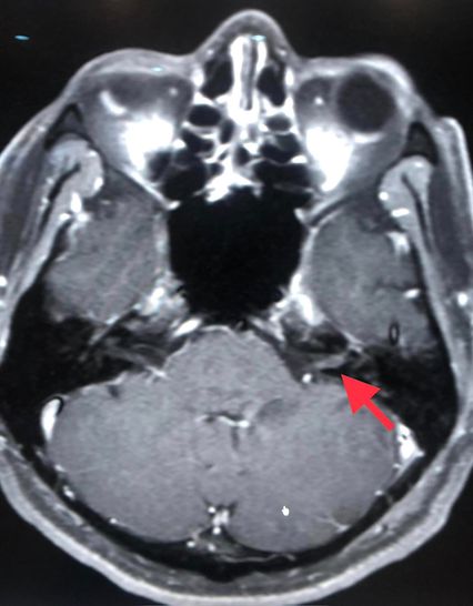
ผลการตรวจคลื่นแม่เหล็กไฟฟ้าสมอง (MRI brain) พบมีการอักเสบของเส้นประสาทในสมองข้างซ้ายเส้นที่ 7 และ 8 เจาะเลือดตรวจแอนติบอดีเฉพาะต่องูสวัด Varicella IgG >5,000 ให้ผลบวก Varicella IgM ให้ผลลบ และเมื่อเจาะหลัง ตรวจน้ำไขสันหลัง พบเม็ดเลือดขาวในน้ำไขสันหลังสูง 188 เชลล์ เป็นชนิดลิมโฟไซต์ (lymphocyte) 100% ค่าโปรตีนสูงเล็กน้อย 58.3 ค่าน้ำตาล ปกติ 76 ส่งตรวจรหัสพันธุกรรม PCR น้ำไขสันหลังพบเชื้อไวรัสงูสวัด (Varicella Zoster Virus )

แพทย์วินิจฉัยว่า ติดเชื้อไวรัสวาริเซลลา (Varicella Zoster Virus: VZV) ไวรัสงูสวัด ซึ่งเป็นไวรัสชนิดเดียวกันกับไวรัสโรคอีสุกอีใส มีอาการแทรกซ้อน เส้นประสาทในสมองข้างซ้ายเส้นที่ 7, 8, 9, 10 อักเสบ และเยื่อหุ้มสมองอักเสบ ให้ยาฆ่าเชื้อไวรัส acyclovir ทางเส้นเลือดนาน 14 วัน และให้ยาเสตียรอยด์ร่วมด้วย
“อาการเจ็บหน้า ตุ่มน้ำใสที่ใบหู หน้าเบี้ยวครึ่งซีก เวียนศีรษะ บ้านหมุน กลืนอาหาร และการออกเสียงดีขึ้นช้าๆ ใช้เวลาเป็นเดือนกว่าจะหายเป็นปกติ ไม่มีอาการปวดปลายประสาทตกค้างหลังเป็นงูสวัด”
หมอมนูญ เผยด้วยว่า โรคงูสวัด พบบ่อยในคนอายุ 50 ปีขึ้นไป และคนที่มีภูมิคุ้มกันบกพร่อง ได้ยากดภูมิคุ้มกัน ปัจจุบันมีวัคซีนที่มีประสิทธิภาพป้องกันโรคงูสวัด