วัณโรค วันนี้ (18 ธ.ค.66) นพ.มนูญ ลีเชวงวงศ์ แพทย์เฉพาะทางด้านโรคระบบการหายใจและผู้ป่วยหนัก ยกเคสผู้ป่วยเพศชาย อายุ 69 ปี มาพบแพทย์ด้วยอาการมีไข้ต่ำๆ ตอนบ่าย ไอมีเสมหะสีขาวไม่มีเลือดปน เหนื่อย เบื่ออาหาร น้ำหนักลด 12 กิโลกรัม ภายใน 1 เดือน คนไข้ให้ประวัติว่าเป็นโรคความดันโลหิต เคยสูบบุหรี่ แต่หยุดสูบไปนาน 45 ปี ในบ้านไม่มีใครป่วยเป็นวัณโรค
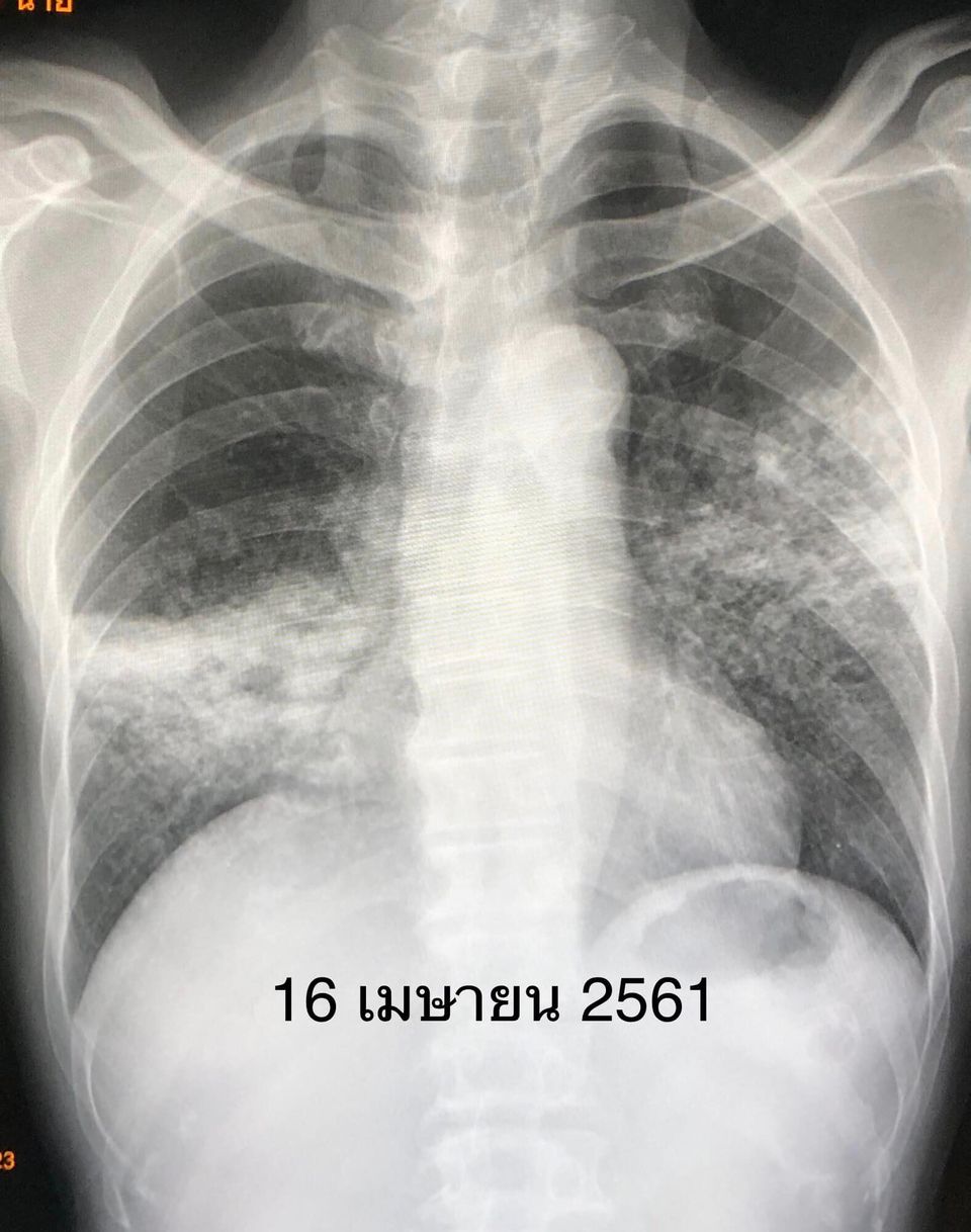
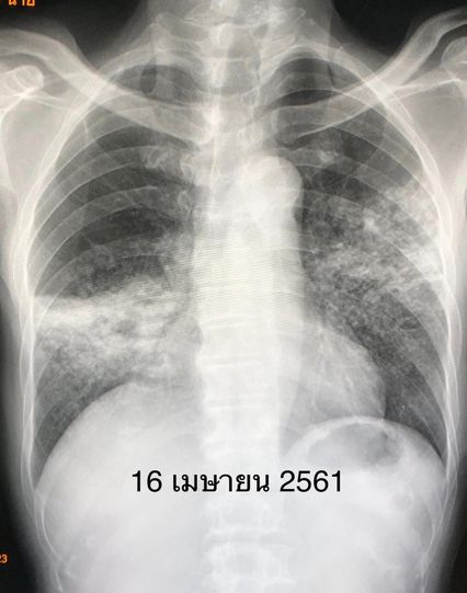
“ผลตรวจร่างกาย ฟังเสียงปอดพบความผิดปกติ เมื่อเอกซเรย์ปอดมีฝ้าขาวทั้งสองข้าง แพทย์จึงสั่งเก็บเสมหะส่งย้อมเชื้อพบวัณโรค 1+ ตรวจรหัสพันธุกรรมพบเชื้อวัณโรคไม่ดื้อยาริแฟมพิซิน เพาะเชื้อขึ้นวัณโรคไวต่อยาไอโซไนอะซิด ริแฟมพิซิน และอีแธมบูทอล สรุปว่า ผู้ป่วยเป็นวัณโรคปอดชนิดไม่ดื้อยา ได้เริ่มยาไอโซไนอะซิด ริแฟมพิซิน พัยราซินาไมด์ และอีแธมบูทอล หลังกินยาวัณโรค 2 สัปดาห์ ผู้ป่วยคลื่นไส้ อาเจียน เบื่ออาหาร ค่าเอนไชม์ตับขึ้นสูง SGOT 312, SGPT 199 แพทย์สงสัยว่าแพ้ยาริแฟมพิซินทำให้ตับอักเสบ จึงหยุดยาริแฟมพิซิน ให้ยามอกซิฟลอกซาซิน (Moxifloxacin) แทนยาริแฟมพิซิน ค่าเอนไชม์ตับลดลง SGOT 57, SGPT 36” หมอมนูญระบุ


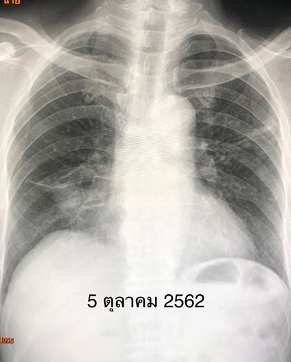
เคสนี้แพทย์รักษาด้วยการให้กินยาวัณโรคไอโซไนอะซิด พัยราซินาไมด์ อีแธมบูทอล และมอกซิฟลอกซาซิน ต่อเนื่อง 1 ปี ไม่ไอ มีความอยากอาหาร น้ำหนักขึ้น 14 กิโลกรัม ผลเอกซเรย์ปอดดีขึ้นมาก หลังหยุดกินยา 4 ปี วัณโรคไม่กลับมาใหม่ เอกซเรย์ปอดยังมีร่องรอยวัณโรคเก่าบ้าง

หมอมนูญ ย้ำเตือนว่า วัณโรคปอดยังเป็นปัญหาที่พบบ่อยในประเทศไทย บางคนกินยาแล้วแพ้ ต้องมีการปรับสูตรยา อย่างไรก็ตาม วัณโรคสามารถรักษาให้หายขาดได้