วันนี้ (24 ก.พ.68) นพ.มนูญ ลีเชวงวงศ์ แพทย์เชี่ยวชาญด้านระบบการหายใจและผู้ป่วยหนัก ใช้พื้นที่เฟซบุ๊กส่วนตัว ให้ความรู้ด้านสุขภาพ โดยยกเคสผู้ป่วยชาย อายุ 65 ปี ซึ่งให้ประวัติว่าไม่เคยสูบบุหรี่ แต่พ่อเป็นมะเร็งปอด ต่อมาผู้ป่วยตรวจพบเป็นมะเร็งปอดชนิด adenocarcinoma ที่ปอดด้านขวาล่าง มะเร็งกระจายเข้ากระดูกสันหลังและกระดูกเชิงกราน เดือนตุลาคม 2566 แพทย์ได้ตรวจหาความผิดปกติของยีนมะเร็ง (NGS) พบว่ามียีน EGFR exon 19 deletion ให้การรักษาด้วยยามุ่งเป้า erlotinib 150 มก.กินวันละ 1 ครั้ง ตั้งแต่เดือนพฤศจิกายน 2566 ผลการรักษาพบว่า มะเร็งปอดตอบสนองต่อยาชั่วคราว มะเร็งเริ่มดื้อยาตั้งแต่เดือนพฤศจิกายน 2567

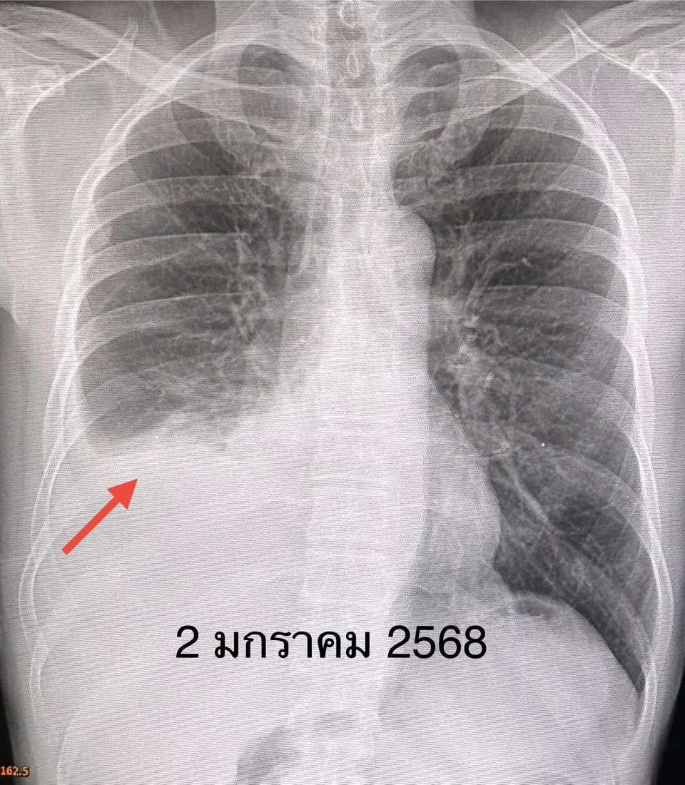
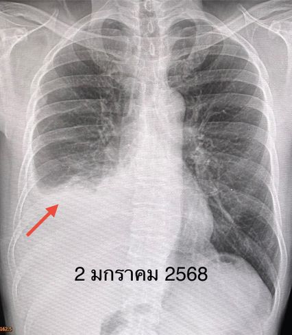
หมอมนูญ ระบุด้วยว่า ผู้ป่วยเคสนี้ มะเร็งกระจายเข้าเยื่อหุ้มปอดข้างขวา ทำให้เกิดน้ำในช่องเยื่อหุ้มปอดข้างขวา ต้องเจาะระบายน้ำ แต่น้ำก็กลับมาอีก ให้เข้านอนโรงพยาบาลเพื่อผ่าตัดเอาชิ้นเนื้อจากเยื่อหุ้มปอด และพ่นแป้ง talc ซึ่งประกอบด้วย magnesium silicate เข้าไปในโพรงเยื่อหุ้มปอด (talc pleurodesis) ใส่ท่อระบายน้ำจากช่องเยื่อหุ้มปอดด้านขวา หลังพ่นแป้ง ไม่พบผลข้างเคียงจากการพ่นแป้ง

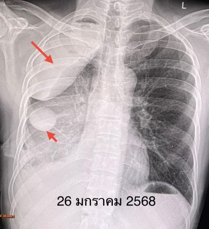
หลังเอาท่อระบายน้ำในปอดออกยังมีก้อนเลือดเกาะอยู่ในเยื่อหุ้มปอด แพทย์ส่งชิ้นเนื้อมะเร็งจากเยื่อหุ้มปอด ตรวจพบการกลายพันธุ์ของยีน T790M ที่ตำแหน่ง exon 20 แสดงว่า มะเร็งน่าจะตอบสนองต่อยา osimertinib จึงเริ่มให้ยา Tagrisso (osimertinib) 80 มก.กินวันละ 1 ครั้ง วันที่ 31 มกราคม 2568
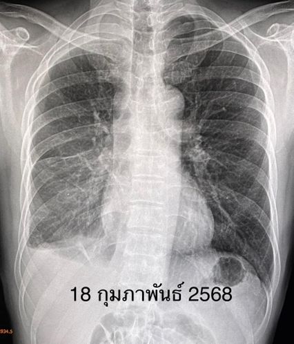
หลังกินยา osimertinib 3 สัปดาห์ ผู้ป่วยดีขึ้น อาการเหนื่อยและปวดกระดูกลดลง เอกซเรย์ปอด พบก้อนเลือดในเยื่อหุ้มปอดหายไป น้ำในช่องเยื่อหุ้มปอดลดลง