วันนี้ (19 ก.พ.68) เพจ Tensia เพจที่นำเสนอข้อมูลด้านวิทยาศาสตร์การแพทย์ ได้ยกเคสผู้ป่วยเพศหญิง อายุ 34 ปี มีอาการเหนื่อยและเจ็บอกขวาทันทีทันใด เป็นช่วงมีรอบเดือน แพทย์วินิจฉัยปอดขวาทะลุ ส่องกล้องพบ เยื่อบุมดลูก เกาะกระจายเต็มผิวกะบังลมและปอด เยื่อบุมดลูกเจริญผิดที่ (Endometriosis) คือมีการโตของเยื่อบุนอกมดลูก โตตามรอบเดือน สลายตามรอบเดือน แล้วสร้างการอักเสบให้จุดที่มันโต วนแบบนี้ไปเรื่อย ๆ ส่วนใหญ่เป็นแถวรังไข่ และอุ้งเชิงกราน แต่คราวนี้มันมาถึงปอด
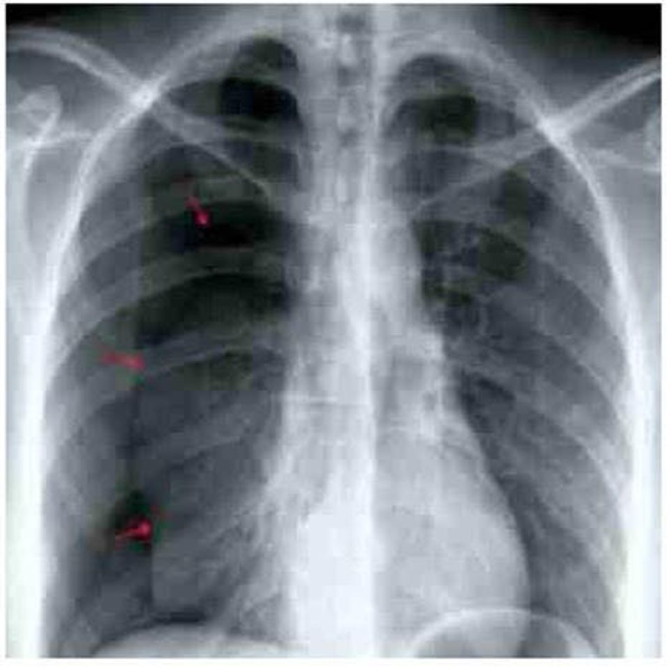
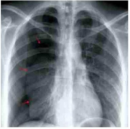
แอดมินเพจ Tensia ระบุด้วยว่า ผู้ป่วยเคสนี้ มีอาการปวดประจำเดือนและปวดระหว่างมีเพศสัมพันธ์มาตั้งแต่อายุ 20 ปี ช่วงใกล้ ๆ นี้เคยปอดขวาทะลุมาแล้ว 3 รอบ และมักจะเป็นช่วงที่มีประจำเดือน ซึ่งแค่พักก็หายได้เอง แต่รอบนี้มาด้วยเหนื่อยและเจ็บอกขวาขึ้นมาทันทีทันใด ออกแรงหรือหายใจเข้าแล้วเจ็บมากขึ้น ผลเอกซเรย์ พบปอดขวาแฟบลง (ลูกศรสีแดงคือแนวขอบของปอดที่หดลงมา) บ่งบอกว่ามีภาวะปอดทะลุ เกิดทางเชื่อมระหว่างโพรงอากาศในปอด กับช่องเยื่อหุ้มปอด ลมได้เข้าไปยังช่องเยื่อหุ้มปอด ทำให้ปอดสูญเสียในการสร้างความดันในขยายปอด

ตรวจอัลตราซาวด์ก็พบจุด (nodule) หลายจุดอยู่ที่เยื่อระหว่างช่องคลอดกับลำไส้ตรง (Rectovagial septum) แพทย์ได้ใส่สายระบายลม (Chest tube) เพื่อระบายลมออกจากเยื่อหุ้มปอด และวางแผนผ่าตัด แพทย์วินิจฉัยว่าน่าจะมีภาวะเยื่อบุมดลูกเจริญผิดที่เยื่อกั้นช่องคลอดกับไส้ตรง และน่าจะมีที่ปอดด้วย เป็นต้นเหตุให้ปอดรั่วหลายครั้ง เพราะมันโตและอักเสบจนทะลุเรื่อยมา
เรียกภาวะปอดรั่วตอนมีประจำเดือน ว่า Catamenial pneumothorax เป็นหนึ่งในภาวะแทรกซ้อนของภาวะเยื่อบุมดลูกเจริญที่ปอด ที่หาได้ยากมาก แต่เป็นทีก็สยองทุกเดือน สุดท้ายจึงได้ส่องกล้อง (VATS) พบหย่อมเยื่อบุมดลูกกระจายเต็มผิวกะบังลม และฝั่งปอด แพทย์ได้ใช้เครื่องจี้ไฟฟ้า จี้ออกจนหมด แล้วปิดช่องเยื่อหุ้มปอด (Pleurodesis) เพื่อไม่ให้ปอดทะลุอีก
คุณหมอแอดมินเพจ Tensia คอมเมนต์ให้ความรู้เพิ่มเติมด้วยว่า ปกติแล้วเวลาปอดรั่ว ถ้าใหญ่มากพอ แพทย์จะใส่สายระบายลมที่ออกแบบมาให้อากาศไหลผ่านได้ทางเดียว (One-way valve) คือจากช่องเยื่อหุ้มปอดไปยังถังด้านนอก เพื่อทำให้เยื่อหุ้มปอดความดันติดลบอีกครั้ง แล้วรอให้เยื่อมันสมานเอง แต่เคสนี้ถึงแม้มีแนวโน้มจะสมานเองเหมือน 3 ครั้งที่แล้ว แต่ถ้าปล่อยก็คงรั่วต่อ จึงผ่าตัดเข้าไปทำลายจุดที่มีเยื่อบุมดลูกทั้งหมดในช่องปอด