วันนี้ (29 เม.ย.68) นพ.มนูญ ลีเชวงวงศ์ แพทย์เฉพาะทางด้านระบบการหายใจและผู้ป่วยหนัก ยกเคสผู้ป่วย เพศหญิง อายุ 63 ปี เป็นโรคเบาหวาน ปกติแข็งแรงดี ไม่สูบบุหรี่ เคยติดโควิดแล้ว 2 ครั้ง เริ่มไอแห้ง ๆ เล็กน้อย และมีอาการเหนื่อยตั้งแต่วันที่ 6 มี.ค.68 เข้ารักษษที่โรงพยาบาลใกล้บ้านวันที่ 16 มี.ค.68 เนื่องจากเหนื่อยมากขึ้นจนลุกขึ้นยืนไม่ได้ ไม่มีไข้ ผิวหนังปกติ กล้ามเนื้อไม่อ่อนแรง ระดับออกซิเจนที่ปลายนิ้วต่ำมาก ต้องให้ออกซิเจนชนิดอัตราการไหลสูงทางจมูก High-Flow nasal O2 cannula

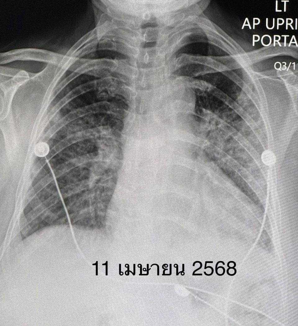
เจาะเลือด พบเลือดจางเล็กน้อย ค่าอักเสบในเลือด ESR และ hs-CRP สูง, ANA ปกติ ค่าโซเดียมในเลือดต่ำ เอกซเรย์ปอดและคอมพิวเตอร์ปอดพบปอดอักเสบทั้ง 2 ข้าง แยงจมูก ส่งเลือดเพาะเชื้อ ส่องกล้องเข้าไปในหลอดลม ไม่พบการติดเชื้อแบคทีเรีย ไวรัส เชื้อรา หรือวัณโรค ได้ยาปฏิชีวนะ เอกซเรย์ปอดซ้ำไม่ดีขึ้น หลังรักษาที่โรงพยาบาลใกล้บ้าน 26 วัน ญาติขอย้ายมารักษาต่อวันที่ 11 เม.ย.68

วันที่ย้ายมา หลังจากซักประวัติ ตรวจร่างกาย และทบทวนประวัติเดิม คิดถึงโรคภูมิต้านทานตนเอง (Autoimmune Diseases) ทำให้เกิดโรคเนื้อเยื่อปอดอักเสบ หรือ Interstitial lung disease (ILD) มากที่สุด ส่งเลือดตรวจพบ Anti MDA5 และ Anti-Ro52 บวก ค่า Ferritin สูง ค่า CPK ของกล้ามเนื้อปกติ ค่าเอนไซม์ของตับสูงเล็กน้อย ค่าไตปกติ ระดับโซเดียมในเลือดต่ำเกิดจาก Syndrome of inappropriate ADH (SIADH)
วินิจฉัยว่า ผู้ป่วยรายนี้เป็นโรคภูมิต้านทานตัวเองชนิด Anti-MDA5 antibody positive dermatomyositis ทำให้เนื้อเยื่อปอดอักเสบ และปอดเกิดพังผืดอย่างรวดเร็ว ไม่มีกล้ามเนื้ออ่อนแรง ไม่มีความผิดปกติของผิวหนังให้ยาสเตียรอยด์ชนิดฉีดขนาดสูง ต่อมาเปลี่ยนเป็นชนิดกิน ยากดภูมิคุ้มกันไมโคฟีโนเลต (mycophenolate) ยาไฮดรอกซีคลอโรควิน (hydroxychloroquine) และยา Tolvaptan รักษาโรคโซเดียมในเลือดต่ำ

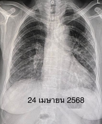
หลังได้รับยา คนไข้เหนื่อยน้อยลง ระดับออกซิเจนที่ปลายนิ้วดีขึ้น ใช้ออกซิเจนแบบหนวดกุ้งธรรมดาทางจมูก ไม่ต้องใช้ High-Flow nasal O2 cannula เอกซเรย์ปอดดีขึ้นช้า ๆ ลุกขึ้นเดินได้ ระดับโซเดียมในเลือดเกือบปกติ กลับบ้านได้หลังจากรักษาอยู่ในโรงพยาบาล 15 วัน หมอนัดติดตามเป็นคนไข้นอกต่อไป